Thermo Fisher Scientific › Electron Microscopy › Electron Microscopes › 3D Visualization, Analysis and EM Software › Use Case Gallery
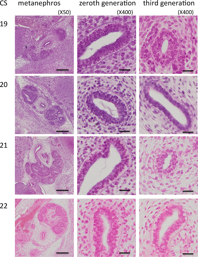
An elaborate system of ducts collects urine from all nephrons, and this structure is known as the urinary collecting system (UCS). This study focused on how the UCS is formed during human embryogenesis. Fifty human embryos between the Carnegie stage (CS) 14 and CS23 were selected from the Kyoto Collection at the Congenital Anomaly Research Center of Kyoto University, Japan. Metanephroses, including the UCS, were segmented on serial digital virtual histological sections. Three-dimensional images were computationally reconstructed for morphological and quantitative analyses. A CS timeline was plotted. It consisted of the 3-D structural morphogenesis of UCS and quantification of the total amount of end-branching, average and maximum numbers of generations, deviation in the metanephros, differentiation of the urothelial epithelium in the renal pelvis, and timing of the rapid expansion of the renal pelvis.
The metanephros, including the UCS, was segmented into serial digital sections. Three-dimensional images were computationally reconstructed and their morphology was analyzed using Amira v. 5.5.0. The total number of nephrons and those connected to the UCS were counted. (…) The longitudinal metanephros length (mm) and the volumes of the UCS and the whole metanephros (mm3) were calculated with Amira v. 5.5.0. The UCS volume was that of the segment between the zeroth- and fifth metanephros branching generations. The 3-D coordinates of all branching points were acquired using Amira 5.5.0.
For Research Use Only. Not for use in diagnostic procedures.